Schedule Appointment
Smile Gallery
Schedule Appointment
Dental Implants
Same Day Dental Implants
All-on-4
Implant Supported Dentures
Dental Implants FAQ
Guided Implant Surgery
Bone Grafting
Tooth Extractions
Sedation Options
Periodontics
Gum Disease Treatment
Laser Gum Surgery
Osseous Surgery
Scaling and Root Planing
Gum Recession Treatment
Mouth-Body Connection
Meet the Doctor
About Us
Financing Options
Patient Forms
Advanced Technology
Smile Gallery
News
The Red Rock Advantage
Contact
Let's Connect!
Smile Gallery
Smile Gallery - Las Vegas, NV
Before & After Treatment
Schedule Now
All-On-4
Dental Implants
Gum Recession
Gum Lift
Lip Repositioning
All-On-4
Personalized Dental Implants After Chemotherapy
Dental Implants Look & Feel Natural
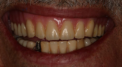
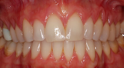
Dental Implants
Gum Recession
Gum Lift
Lip Repositioning